-

Smile Gallery

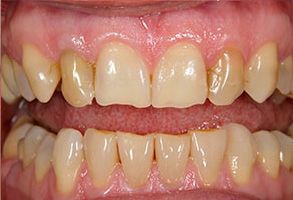
The image shows a close-up of a person with a smile revealing yellowed teeth and a red tongue.

Before

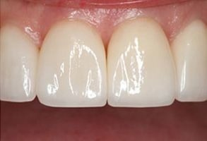
The image displays a close-up of a person s smiling face with teeth showing, featuring a wide grin and a well-maintained smile.

After

The image shows two close-up photographs of an individual s teeth with severe dental decay and discoloration, emphasizing the need for oral hygiene and professional dental care.

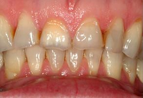
Before

The image displays a close-up view of a person s teeth with visible staining and yellowing, showcasing their dental condition.

After

The image shows a close-up of a person s face with a focus on their teeth, which are visibly crooked and possibly misaligned.

Before

The image displays a close-up of a person s face with a broad smile, showcasing white teeth and a clean mouth, against a blurred background that appears to be a human body, specifically an arm and hand.

After

The image shows a close-up view of a person s teeth with visible staining, likely due to smoking or other factors, indicating the need for dental care or treatment.

Before

The image shows a close-up of a person s teeth with a focus on cosmetic dental work, likely an advertisement for dental services.

After

The image shows a close-up view of a person s mouth with teeth that appear discolored and possibly damaged, likely due to dental issues such as decay or staining.

Before

This is a close-up photograph of a person s teeth showing a professional dental cleaning with visible foam from toothpaste, emphasizing cleanliness and oral hygiene.

After

The image shows a close-up view of a person s teeth with a focus on a dental implant.

Before

The image shows a close-up of a person s teeth with a focus on a set of yellowed front teeth.

After

The image shows a person s mouth with a full set of yellowed teeth, some missing, and a visible metal bar across the front.

Before

The image displays a close-up view of a person s teeth with visible signs of decay and discoloration, showcasing a dental condition requiring attention.

After

Hours of Operation

Monday
8:00 am - 3:00 pm
Tuesday
8:00 am - 5:00 pm
Wednesday
8:00 am - 3:00 pm
Thursday
8:00 am - 3:00 pm
Friday
Closed
Saturday
Closed